ジルコニアクラウンで審美性を改善した前歯補綴症例
患者様情報
60代男性
患者様のお悩み
前歯の被せ物を新しくしたい
治療概要
虫歯治療、詰め物・被せ物
提案内容
審美性と適合精度の改善を目的に、ジルコニアクラウンでの再補綴を提案しました。
また、メタルコアによる光透過への影響や歯根破折リスクを考慮し、ファイバーコアへの置換も提案しました。
ジルコニアクラウンを選択することで、強度と自然な色調再現の両立を図りました。
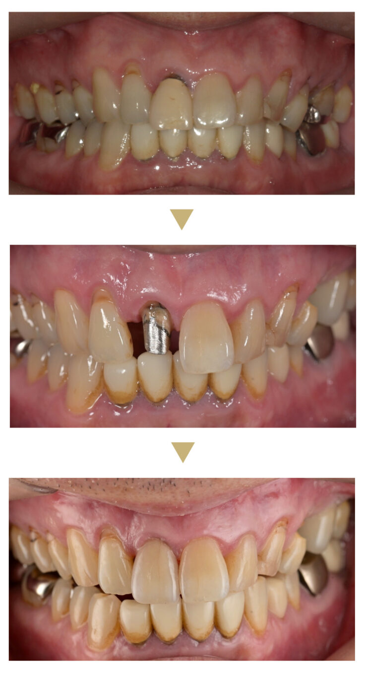
治療内容
患者様はメタルコアの除去を希望しなかったため、既存コアを利用してジルコニアクラウンに置き換える方針としました。
まず、既存クラウン除去後に支台歯の状態を確認し、形態修正を行ったうえで仮歯を装着しました。
歯肉の状態が安定した後、最終印象採得を行い、咬合・色調を確認してジルコニアクラウンを装着しました。
装着後はマージン適合および咬合状態が良好で、自然な審美性を回復しました。
治療前の状態
既存クラウンのマージン部に変色がありました。
色調は周囲歯と不調和で、前歯部全体の審美的バランスが崩れていました。
治療後の状態
ジルコニアクラウンの装着により、周囲歯と自然に調和した色調と形態を獲得しました。
マージン適合も改善され、歯肉ラインとの連続性が自然となりました。
患者様は見た目の改善に大変満足していらっしゃいました。
治療費用(税込)
仮歯:3,000円
ジルコニアクラウン:150,000円
総額:153,000円
治療期間
1ヶ月
通院頻度
1週間に1回
治療回数
3回
リスク・副作用
咬合力・ブラキシズムによる補綴物の脱離・破損
歯肉退縮による補綴境界の露出

