多角的アプローチで口腔機能と審美性を改善した症例
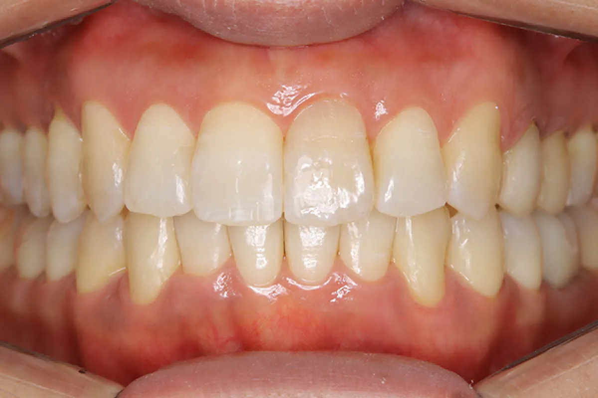
インビザラインインプラントホームホワイトニング患者様情報 30代女性 患者様のお悩み 右下の歯が欠けてきて気になる 歯並びのデコボコが気になる 口元の見た目をきれいにしたい 治療概要 インビザライン、インプラント、ホワイトニング 提案内容 精密検査の結 […]

患者様情報 30代女性 患者様のお悩み 右下の歯が欠けてきて気になる 歯並びのデコボコが気になる 口元の見た目をきれいにしたい 治療概要 インビザライン、インプラント、ホワイトニング 提案内容 精密検査の結 […]
患者様情報 20代男性 患者様のお悩み 上下前歯部の歯ぐきの黒ずみが気になる 特に笑ったときに見える範囲の色ムラを改善したい 治療概要 ガムピーリング 提案内容 メラニン色素沈着による歯肉の黒ずみがみられた […]
患者様情報 50代男性 患者様のお悩み 右上前歯の動揺と違和感が気になる 治療概要 インプラント 提案内容 パノラマレントゲンおよびCT撮影により、右上2番(右上中央から2番目の前歯)は歯根周囲の骨吸収が進 […]
患者様情報 40代男性 患者様のお悩み 左上奥歯に違和感と噛みにくさがある 治療概要 インプラント 提案内容 上顎洞底部の骨吸収が進行しており、既存骨量ではインプラント埋入が困難と判断しました。 そのため、 […]
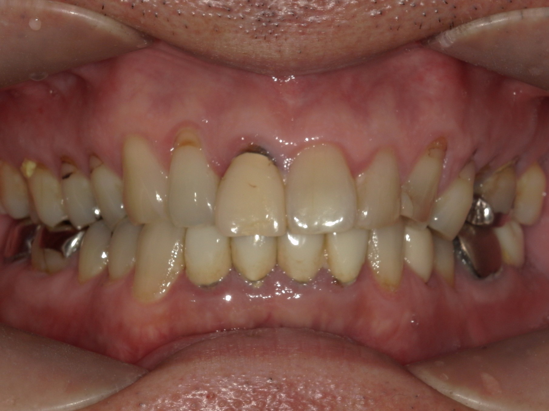
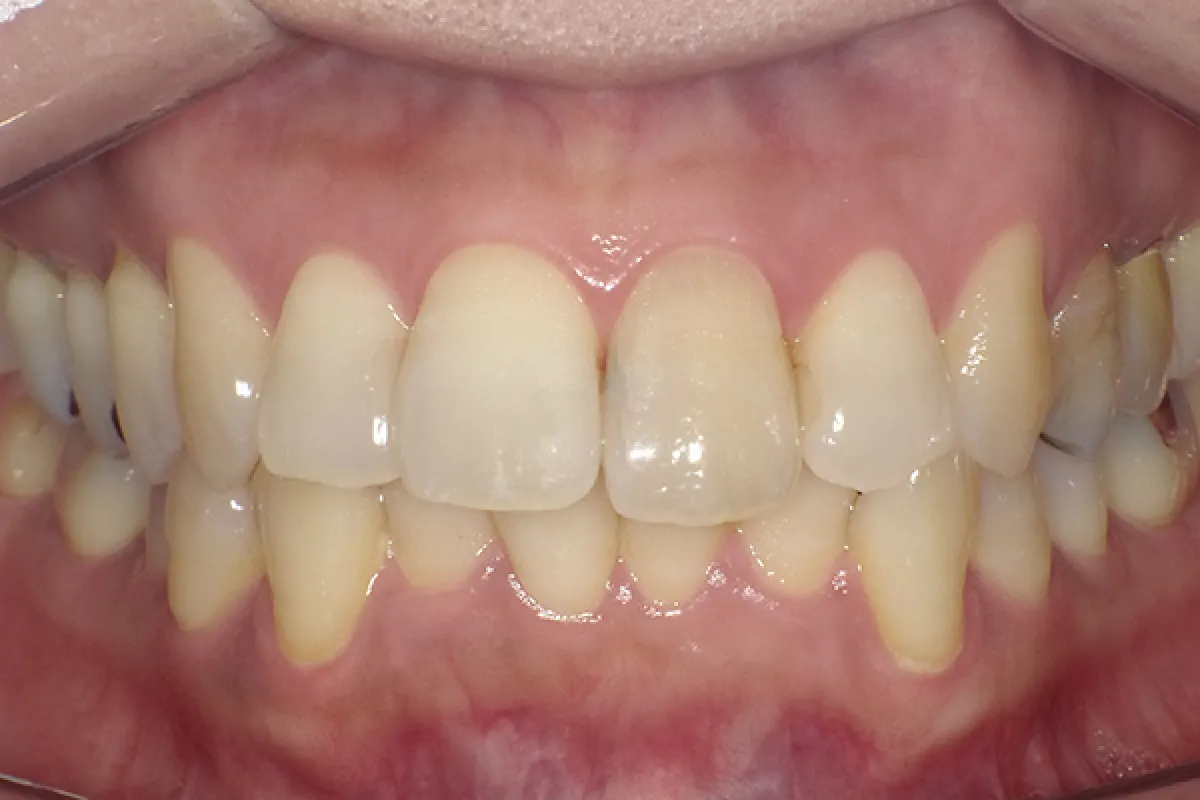
患者様情報 60代男性 患者様のお悩み 前歯の被せ物を新しくしたい 治療概要 虫歯治療、詰め物・被せ物 提案内容 審美性と適合精度の改善を目的に、ジルコニアクラウンでの再補綴を提案しました。 また、メタルコ […]
患者様のお悩み 検診と虫歯治療希望。 その後、前歯の突出感の改善を希望。 治療概要 インビザライン・マウスピース矯正 主訴である虫歯治療を先行し、今後のセルフケアのしやすさや、治療した歯がより長く健康に保てるように負担を […]
患者様情報 50代女性 患者様のお悩み 転んで前歯を折った、前歯の長さが気になる 治療概要 詰め物・被せ物、審美歯科 提案内容 転倒により前歯を破折していたため補綴治療を提案しました。以前より前歯の長さに不満を有していた […]
患者様のお悩み 銀歯を白くしたい 治療概要 虫歯治療,詰め物・被せ物 「金属を白くしたい」とのご希望をいただきましたので、見た目が自然で審美性に優れる素材として、以下の2種類のセラミック材料をご提案させていただき、治療を […]
患者様のお悩み 前歯のガタガタが気になる 治療概要 インビザライン 以前に矯正治療を受けていたものの、後戻りが気になるとのことでご来院されました。 特に食いしばりが気になるということで、検査の結果、前歯の噛み合わせが後戻 […]
患者様のお悩み ホワイトニングがしたい 治療概要 ホワイトニング 黄ばみが気になるとのことで、ホワイトニングをご希望されて来院されました。 ご要望に応じて、ホームホワイトニングとオフィスホワイトニングのそれぞれのメリット […]
Menu
〒222-0033
神奈川県横浜市港北区新横浜3-4
新横浜プリンスペペ3階
新横浜駅より徒歩2分
新横浜プリンスペペホテル共同駐車場有
現金/クレジットカード/PayPay
| 月 | 火 | 水 | 木 | 金 | 土 | 日 | 祝 | |
|---|---|---|---|---|---|---|---|---|
| 10:00〜13:30 | ● | ● | ● | ● | ● | ▲ | ▲ | ✕ |
| 14:30〜20:00 | ● | ● | ● | ● | ● | △ | ◯ | ✕ |
045-472-3888
アクセス
LINE予約
WEB予約
電話予約
メニュー