上下顎前歯部叢生を伴う歯列不正
インビザライン患者様情報 40代男性 患者様のお悩み 前歯部の重なりが気になる 治療概要 インビザライン 提案内容 歯列不正の改善および審美性・清掃性の向上を目的として、矯正治療による歯列の配列改善を提案しました。 治療 […]

患者様情報 40代男性 患者様のお悩み 前歯部の重なりが気になる 治療概要 インビザライン 提案内容 歯列不正の改善および審美性・清掃性の向上を目的として、矯正治療による歯列の配列改善を提案しました。 治療 […]
患者様情報 30代女性 患者様のお悩み 右下の歯が欠けてきて気になる 歯並びのデコボコが気になる 口元の見た目をきれいにしたい 治療概要 インビザライン、インプラント、ホワイトニング 提案内容 精密検査の結 […]
患者様情報 20代男性 患者様のお悩み 上下前歯部の歯ぐきの黒ずみが気になる 特に笑ったときに見える範囲の色ムラを改善したい 治療概要 ガムピーリング 提案内容 メラニン色素沈着による歯肉の黒ずみがみられた […]
患者様情報 50代男性 患者様のお悩み 右上前歯の動揺と違和感が気になる 治療概要 インプラント 提案内容 パノラマレントゲンおよびCT撮影により、右上2番(右上中央から2番目の前歯)は歯根周囲の骨吸収が進 […]
患者様情報 40代男性 患者様のお悩み 左上奥歯に違和感と噛みにくさがある 治療概要 インプラント 提案内容 上顎洞底部の骨吸収が進行しており、既存骨量ではインプラント埋入が困難と判断しました。 そのため、 […]
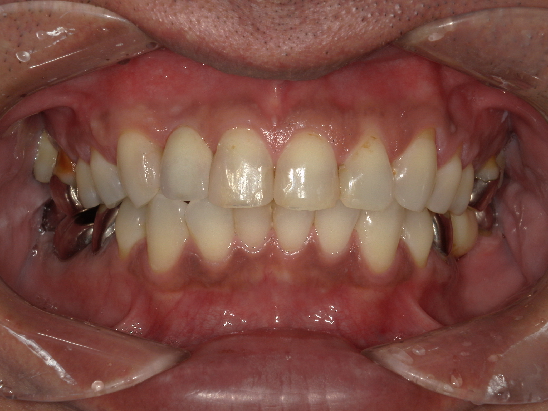
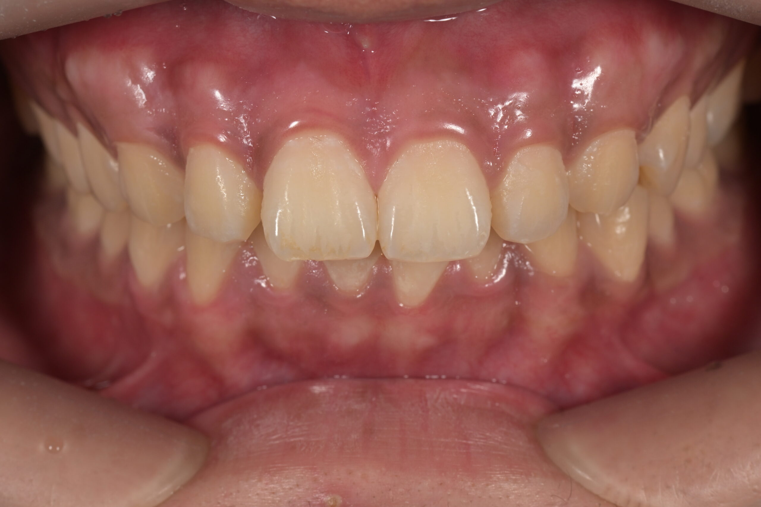
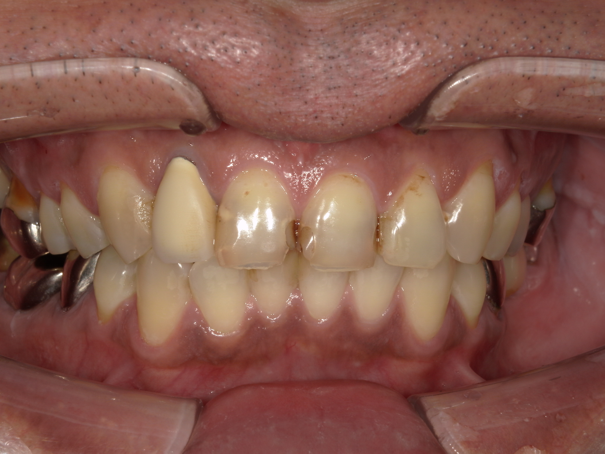
患者様情報 60代男性 患者様のお悩み 前歯の被せ物を新しくしたい 治療概要 虫歯治療、詰め物・被せ物 提案内容 審美性と適合精度の改善を目的に、ジルコニアクラウンでの再補綴を提案しました。 また、メタルコ […]
患者様のお悩み 検診と虫歯治療希望。 その後、前歯の突出感の改善を希望。 治療概要 インビザライン・マウスピース矯正 主訴である虫歯治療を先行し、今後のセルフケアのしやすさや、治療した歯がより長く健康に保てるように負担を […]
患者様情報 50代女性 患者様のお悩み 転んで前歯を折った、前歯の長さが気になる 治療概要 詰め物・被せ物、審美歯科 提案内容 転倒により前歯を破折していたため補綴治療を提案しました。以前より前歯の長さに不満を有していた […]
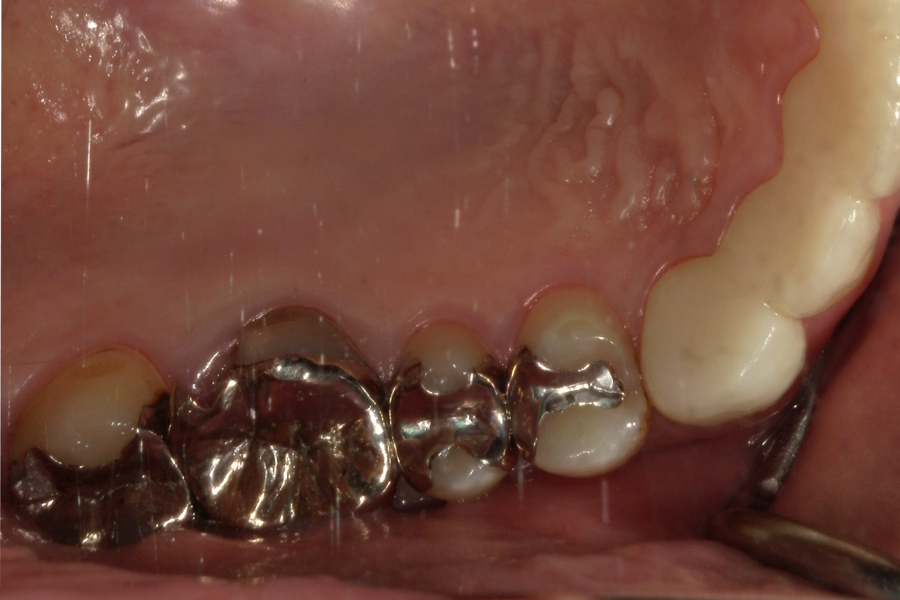
患者様のお悩み 銀歯を白くしたい 治療概要 虫歯治療,詰め物・被せ物 「金属を白くしたい」とのご希望をいただきましたので、見た目が自然で審美性に優れる素材として、以下の2種類のセラミック材料をご提案させていただき、治療を […]
患者様のお悩み 前歯のガタガタが気になる 治療概要 インビザライン 以前に矯正治療を受けていたものの、後戻りが気になるとのことでご来院されました。 特に食いしばりが気になるということで、検査の結果、前歯の噛み合わせが後戻 […]
Menu
〒222-0033
神奈川県横浜市港北区新横浜3-4
新横浜プリンスペペ3階
新横浜駅より徒歩2分
新横浜プリンスペペホテル共同駐車場有
現金/クレジットカード/PayPay
| 月 | 火 | 水 | 木 | 金 | 土 | 日 | 祝 | |
|---|---|---|---|---|---|---|---|---|
| 10:00〜13:30 | ● | ● | ● | ● | ● | ▲ | ▲ | ✕ |
| 14:30〜20:00 | ● | ● | ● | ● | ● | △ | ◯ | ✕ |
045-472-3888
アクセス
LINE予約
WEB予約
電話予約
メニュー