上下顎前歯部叢生を伴う歯列不正
患者様情報
40代男性
患者様のお悩み
前歯部の重なりが気になる
治療概要
インビザライン
提案内容
歯列不正の改善および審美性・清掃性の向上を目的として、矯正治療による歯列の配列改善を提案しました。
治療内容
矯正治療により歯列の配列を整え、叢生の改善を図りました。治療期間中は定期的に経過観察を行い、歯の移動状況および口腔内環境を確認しました。
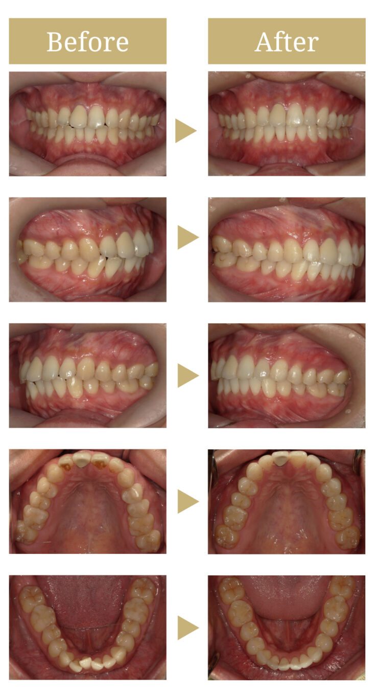
治療前の状態
上下顎前歯部を中心に歯列不正があり、特に下顎前歯部では歯の重なりが強く、清掃性の低下がみられました。
また、歯列の不整により審美的な違和感を患者様自身も自覚しており、笑った際の歯並びを気にされていました。
治療後の状態
歯列の叢生は改善され、歯列弓(歯並びを上から見たときのアーチ状のライン)は整い、審美性および清掃性が向上しました。
患者様本人にも見た目および口腔内の清掃のしやすさについて満足していただけました。
治療費用(税込)
インビザラインフル:900,000円
ビベラリテーナー3枚:66,000円
総額:966,000円
治療期間
1年
通院頻度
2ヶ月に1回
治療回数
10回
アライナーの枚数
30枚
リスク・副作用
矯正治療に伴う歯の移動時の疼痛や違和感
歯根吸収の可能性
治療後の後戻り
リテーナー不使用による歯列不安定化



