右上側切歯の保存困難歯に対し抜歯後インプラントで咬合・審美性を回復した症例
患者様情報
50代男性
患者様のお悩み
右上前歯の動揺と違和感が気になる
治療概要
インプラント
提案内容
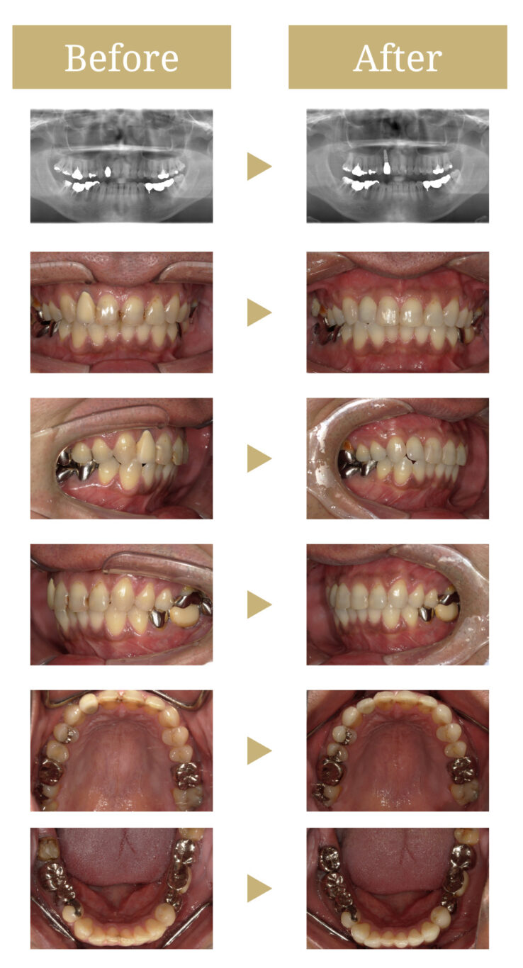
パノラマレントゲンおよびCT撮影により、右上2番(右上中央から2番目の前歯)は歯根周囲の骨吸収が進行し、保存困難歯と判断しました。
抜歯後の治癒を経てインプラントによる補綴再建を提案しました。
治療内容
右上2番を抜歯し、約5か月間の治癒期間を設けた後にインプラント埋入を実施しました。
埋入後は十分なオッセオインテグレーション期間(インプラントと骨を結合させる期間)を取り、二次手術後に仮歯を装着しました。
形態・歯肉ライン・発音の調和を確認し、最終補綴としてレイヤリングジルコニアクラウンを装着しました。
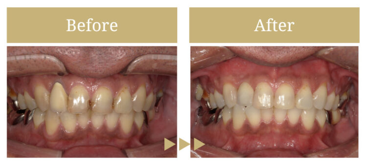
治療前の状態
右上2番は骨吸収が進み、動揺と咬合痛を伴っていました。
保存困難な状態であり、審美的にも歯頚ライン(歯の見えている部分と歯肉や顎骨に埋まっている部分の境界)の不調和が見られました。
治療後の状態
インプラント周囲の骨レベルは安定し、歯肉の厚みとラインも自然に回復しました。
ジルコニアクラウンにより周囲歯と調和した色調を再現し、審美性と機能性の両立を実現することができました。
治療費用(税込)
オペ代:33,000円
CT代:22,000円
麻酔代:66,000円
フィクスチャー(ノーベル/スタンダード):330,000円
アバットメント:55,000円
仮歯:22,000円
上部構造(プレミアムジルコニア):220,000円
ボーングラフト:55,000円
総額:803,000円
治療期間
約1年
通院頻度
2週間に1回程度
治療回数
15回程度
※オッセオインテグレーション期間のクリーニング等も含む
リスク・副作用
インプラント部位の感染・腫脹・疼痛
初期固定不良・骨結合不全

