上顎臼歯部骨吸収に対してサイナスリフトを併用したインプラント補綴症例
患者様情報
40代男性
患者様のお悩み
左上奥歯に違和感と噛みにくさがある
治療概要
インプラント
提案内容
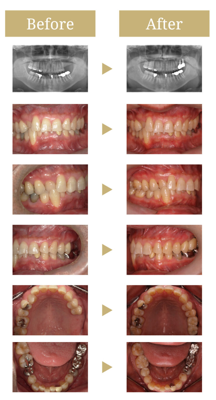
上顎洞底部の骨吸収が進行しており、既存骨量ではインプラント埋入が困難と判断しました。
そのため、サイナスリフト(上顎洞底挙上術)を併用したインプラント治療をご提案。
左上6番・7番部に2本のインプラントを埋入し、最終的にブリッジ形式で補綴する計画としました。
治療内容
左上6番・7番相当部にインプラントを同時埋入しました。
約6か月のオッセオインテグレーション期間(インプラントと骨を結合させる期間)を経て、印象採得を行い、最終補綴としてジルコニアクラウン(連結タイプ)を装着しました。
治療前の状態
左上6・7番欠損部は骨吸収が進行し、上顎洞底までの残存骨高径は5mm未満でした。
咬合支持が失われ、対合歯の挺出傾向がありました。
治療後の状態
サイナスリフト部の骨再生は良好で、インプラントの安定性も高く、骨吸収や透過像はありませんでした。
最終補綴装着後は咬合バランスが改善し、良好な咀嚼機能が回復。審美性にも優れ、患者様にもご満足いただけました。
治療費用(税込)
オペ代:33,000円
CT代:22,000円
麻酔代:66,000円
プレドニン注射:3,300円
フィクスチャー(ノーベル/スタンダード)2本:660,000円
チタンアバットメント2本:66,000円
仮歯2本:33,000円
上部構造(ジルコニア)2本:396,000円
サイナスリフト:220,000円
総額:1,488,300円
治療期間
約1年
通院頻度
2週間に1回程度
治療回数
20回
リスク・副作用
術後腫脹・疼痛・上顎洞炎
骨移植材の吸収・感染・排出
インプラントの初期固定不良・脱落
補綴物の破損・スクリュー緩み
長期経過における骨吸収や咬合変化

