補綴治療の症例
/
症状から記事を探す
こんにちは。
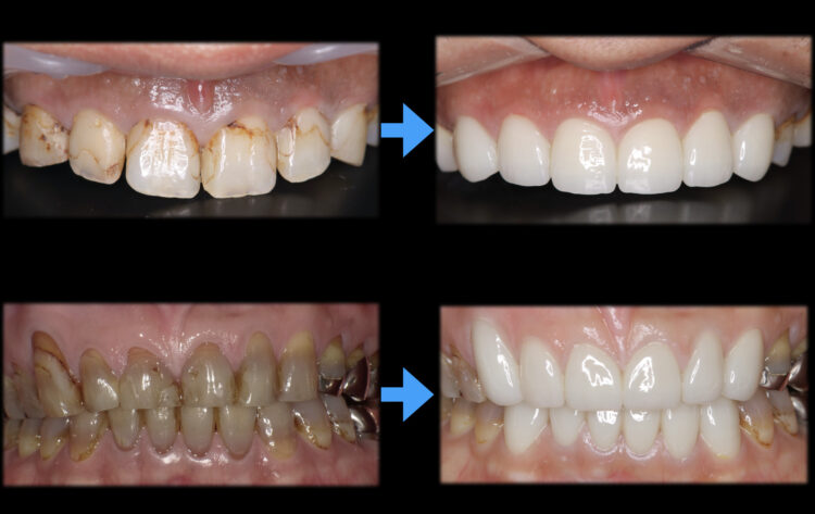
本日は前歯の着色を被せ物で治療した症例をご紹介します。
(担当医 花澤)
一人目の患者様は他院で虫歯の治療をコンポジットレジンという樹脂の材料によって行なっており、経年的に着色がついて劣化してしまっていたのを、ジルコニアと呼ばれる材質の被せ物で治療しています。
二人目の患者様は生まれつきテトラサイクリン歯と呼ばれる縞状の模様の付いた歯を、こちらもジルコニアの被せ物で治療しています。
もしこのように前歯の着色や色味でお困りでしたら、ぜひ一度ご相談ください!
