精密根管治療について
/
症状から記事を探す
皆さん、こんにちは!
アシスタントの田中です。
今回は、顕微鏡を使った根管治療についてお話ししていきます。
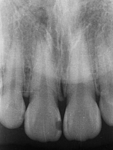
根の先が黒くなっています。
これは、膿がある状態です。
根っこの先まで器具を通し、洗浄して、お薬で密封する必要があります。
担当医 院長花澤
顕微鏡を使った根管治療では、専用の器具を使用して、密封性の高い薬剤を使用しています。
しっかりと根っこの先まで薬剤が入っている事が確認できます。
その後は、差し歯となる土台を建てて、被せ物して治療は終わりになります。
顕微鏡を使う事で、より精度の高い治療ができます。
何か気になる事があれば、ご気軽にご相談下さい。
