エアフローについて
/
症状から記事を探す
こんにちは☀
皆さんは 歯の黄ばみやくすみ、気になっていませんか?
毎日の歯みがきだけでは、少しずつ着色が残ってしまうことがあります。
そんなときにおすすめなのが「エアフロー」。
微細なパウダーと水流で、歯の表面の汚れやバイオフィルムをやさしく除去します。
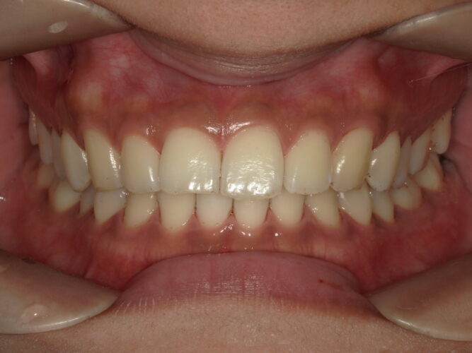
例えば、コーヒー好きの患者さまは長年の着色でお悩みでしたが、エアフロー後は自然な白さを取り戻しました。
下のビフォー・アフター写真をご覧いただくと、その変化が一目でわかります。

user comment….

user comment….
気になる方は是非お声掛けください
DH靨