〒222-0033
神奈川県横浜市港北区新横浜3-4
新横浜プリンスペペ3階

インプラントオペ②

インプラントオペ②

/

症状から記事を探す

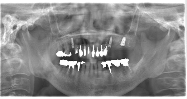
続きです◎

 

2ケース目は、80歳の女性です。

年齢だけ聞くと、インプラントできるの?

入れ歯でいいんじゃないの?

 

と思われそうですが、全身状態も問題ないですし、

何より患者さんが入れ歯はイヤで、しっかり噛めるインプラントにしたいという強いご希望がありました。

<術前>

 

<術後>

 

オペも楽に終わって、3ヶ月後に仮歯が入るのを楽しみにされていました。

その時には、さらに奥歯でおいしく食事できる喜びを感じてもらえるのではないかと思います。

 

お疲れ様でした!

 

院長 北崎

Menu

新横浜エス歯科クリニック

住所

〒222-0033
神奈川県横浜市港北区新横浜3-4
新横浜プリンスペペ3階

最寄駅

新横浜駅より徒歩2分

駐車場

新横浜プリンスペペホテル共同駐車場有

支払い方法

現金/クレジットカード/PayPay

10:00〜13:30
14:30〜20:00
\ お急ぎの方はお電話で! /

045-472-3888

24時間いつでもOK!
WEB初診予約

BACK TO TOP

アクセスアイコン

アクセス

LINE予約アイコン

LINE予約

WEB予約アイコン

WEB予約

電話予約アイコン

電話予約

メニュー